
Les maladies des gencives sont des affections fréquentes qui peuvent évoluer silencieusement et entraîner des conséquences importantes sur la santé bucco-dentaire et générale.
Rougeurs, saignements, douleurs ou déchaussement des dents sont autant de signes à ne pas négliger. Lorsqu’elles ne sont pas traitées à temps, ces pathologies peuvent nécessiter une prise en charge plus approfondie.
La chirurgie parodontale représente aujourd’hui une solution efficace pour traiter les maladies des gencives à un stade avancé. Grâce aux progrès des techniques médicales, elle permet d’intervenir de manière ciblée, sûre et adaptée, y compris chez les patients fragiles et les personnes ayant une peau ou des muqueuses sensibles. Cette approche contribue à préserver les dents naturelles, améliorer le confort au quotidien et maintenir une bonne santé globale.
Qu’est-ce que la chirurgie parodontale et pourquoi est-elle essentielle pour la santé des gencives ?
La chirurgie parodontale est une branche spécialisée de la dentisterie qui vise à traiter les maladies affectant les tissus de soutien des dents, notamment les gencives, l’os alvéolaire et le ligament parodontal. Elle intervient lorsque les traitements non chirurgicaux, tels que le détartrage et le surfaçage radiculaire, ne suffisent plus à contrôler l’inflammation ou l’infection. Cette approche thérapeutique permet non seulement de stopper la progression des maladies parodontales, mais aussi de restaurer la santé bucco-dentaire globale du patient.
Les maladies des gencives sont souvent silencieuses à leurs débuts. Elles évoluent progressivement, passant d’une simple gingivite à une parodontite sévère pouvant entraîner la perte des dents. La chirurgie parodontale représente alors une solution efficace et durable, particulièrement bénéfique pour les patients fragiles, immunodéprimés ou présentant une peau et des muqueuses sensibles.
Quelles sont les principales maladies des gencives nécessitant une chirurgie parodontale ?
Qu’est-ce que la gingivite et comment évolue-t-elle ?
La gingivite est une inflammation superficielle des gencives causée par l’accumulation de plaque bactérienne. Elle se manifeste par des rougeurs, des gonflements et des saignements lors du brossage. À ce stade, la maladie est réversible. Cependant, en l’absence de traitement, elle peut évoluer vers une forme plus grave.
Qu’est-ce que la parodontite et pourquoi est-elle dangereuse ?
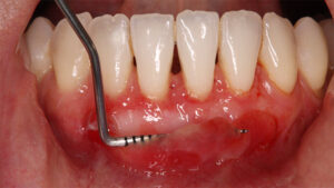
La parodontite est une infection profonde qui détruit progressivement l’os et les tissus de soutien des dents. Elle provoque la formation de poches parodontales, une mobilité dentaire, une récession gingivale et, à terme, la perte des dents. La chirurgie parodontale devient alors indispensable pour éliminer les tissus infectés et stabiliser la situation.
Pourquoi la chirurgie parodontale est-elle une solution efficace contre les maladies des gencives ?
La chirurgie parodontale permet d’agir directement à la source du problème. Contrairement aux traitements conservateurs, elle offre un accès profond aux zones infectées, impossibles à nettoyer correctement avec des instruments classiques. Cette approche permet une désinfection complète, une meilleure cicatrisation et une réduction significative des risques de récidive.
Elle est particulièrement indiquée lorsque les poches parodontales dépassent une certaine profondeur ou lorsque la perte osseuse compromet la stabilité des dents. Grâce aux avancées technologiques et aux techniques mini-invasives, la chirurgie parodontale est aujourd’hui plus confortable, plus précise et mieux tolérée, même par les patients les plus sensibles.
Quels sont les différents types de chirurgies parodontales disponibles ?
En quoi consiste la chirurgie à lambeau ?
La chirurgie à lambeau consiste à décoller délicatement la gencive afin d’exposer les racines dentaires et l’os sous-jacent. Cette technique permet un nettoyage en profondeur, l’élimination du tartre et des bactéries, ainsi que le remodelage osseux si nécessaire. Elle favorise ensuite une réadaptation optimale de la gencive autour de la dent.
Qu’est-ce que la régénération tissulaire guidée ?
La régénération tissulaire guidée vise à stimuler la repousse de l’os et des tissus parodontaux détruits. Elle utilise des membranes biocompatibles et parfois des biomatériaux pour favoriser la cicatrisation naturelle. Cette technique est particulièrement bénéfique pour préserver les dents naturelles et améliorer leur longévité.
À quoi sert la greffe gingivale ?
La greffe gingivale est indiquée en cas de récession gingivale importante. Elle consiste à prélever un tissu, généralement au niveau du palais, pour renforcer ou épaissir la gencive. Cette intervention protège la racine dentaire, réduit la sensibilité et améliore l’esthétique du sourire.
Quels sont les avantages spécifiques de la chirurgie parodontale pour les patients fragiles ?
Les patients fragiles, tels que les personnes âgées, les diabétiques ou les patients souffrant de maladies chroniques, sont plus exposés aux complications parodontales. La chirurgie parodontale permet de réduire les foyers infectieux, ce qui a un impact positif sur la santé générale. En limitant l’inflammation chronique, elle contribue à une meilleure gestion des pathologies systémiques.
De plus, les protocoles actuels sont adaptés à ces profils sensibles. Les techniques sont moins invasives, les temps opératoires réduits et les suites post-opératoires mieux contrôlées, ce qui diminue considérablement les risques.
Pourquoi la chirurgie parodontale est-elle adaptée aux peaux et muqueuses sensibles ?
Les patients présentant une peau ou des muqueuses sensibles peuvent craindre les interventions chirurgicales. Pourtant, la chirurgie parodontale moderne prend en compte ces particularités. L’utilisation de lasers, de sutures fines et de matériaux biocompatibles permet de minimiser les traumatismes et de favoriser une cicatrisation douce.
Les inflammations post-opératoires sont ainsi limitées, les douleurs réduites et le confort du patient amélioré. Cette approche personnalisée est essentielle pour garantir des résultats durables sans compromettre la qualité de vie.
Comment se déroule une intervention de chirurgie parodontale ?
Quelle est l’importance de la consultation préopératoire ?
Avant toute intervention, une évaluation complète est réalisée. Elle comprend un examen clinique, des radiographies et une analyse de l’état général du patient. Cette étape permet d’adapter le plan de traitement aux besoins spécifiques, notamment chez les patients fragiles ou à peau sensible.
Comment se passe l’intervention elle-même ?
L’intervention est généralement réalisée sous anesthésie locale. Le chirurgien procède au nettoyage, à la correction des défauts osseux ou à la greffe selon le cas. La durée varie en fonction de la complexité, mais la majorité des actes se déroule en ambulatoire.
Quelles sont les suites opératoires et la phase de cicatrisation ?
La cicatrisation après une chirurgie parodontale est progressive. Des recommandations précises sont données pour assurer une guérison optimale : hygiène bucco-dentaire adaptée, alimentation douce et suivi régulier. Chez les patients sensibles, un accompagnement spécifique est mis en place pour prévenir toute complication.
Les douleurs sont généralement modérées et bien contrôlées par des traitements adaptés. Les résultats s’améliorent progressivement au fil des semaines.
Quels résultats peut-on attendre de la chirurgie parodontale à long terme ?
Lorsqu’elle est bien indiquée et correctement réalisée, la chirurgie parodontale offre des résultats durables. Elle permet de stabiliser les dents, de réduire l’inflammation, d’améliorer l’esthétique gingivale et de préserver la santé bucco-dentaire sur le long terme.
Pour les patients fragiles et les peaux sensibles, les bénéfices sont particulièrement notables : diminution des infections, amélioration du confort et meilleure qualité de vie globale.
Pourquoi la prévention et le suivi sont-ils essentiels après une chirurgie parodontale ?
La chirurgie parodontale n’est pas une fin en soi. Elle s’inscrit dans une démarche globale de soins. Un suivi régulier et une hygiène rigoureuse sont indispensables pour éviter les récidives. L’éducation du patient joue un rôle clé dans le maintien des résultats obtenus.
La chirurgie parodontale est-elle un investissement pour la santé globale ?
Au-delà de la sphère bucco-dentaire, la chirurgie parodontale contribue à la santé générale. En réduisant l’inflammation chronique, elle participe à la prévention de nombreuses complications systémiques. Elle représente ainsi un véritable investissement pour le bien-être à long terme, en particulier chez les patients fragiles.
Quel est le rôle du chirurgien-dentiste spécialisé en parodontologie ?
Le chirurgien-dentiste spécialisé en parodontologie joue un rôle central dans la prise en charge des maladies des gencives. Son expertise repose sur une connaissance approfondie des tissus parodontaux et des mécanismes inflammatoires qui les affectent. Contrairement aux soins dentaires classiques, la chirurgie parodontale nécessite une précision extrême, une évaluation rigoureuse des risques et une adaptation constante aux particularités de chaque patient.
Chez les patients fragiles ou présentant une sensibilité accrue de la peau et des muqueuses, le praticien adopte une approche personnalisée. Il ajuste les techniques chirurgicales, le choix des matériaux et le protocole post-opératoire afin de garantir une cicatrisation optimale tout en minimisant les traumatismes.
Quels sont les risques potentiels de la chirurgie parodontale et comment sont-ils maîtrisés ?
Existe-t-il des risques liés à l’intervention ?
Comme toute intervention chirurgicale, la chirurgie parodontale comporte certains risques, notamment des douleurs temporaires, un léger gonflement ou un saignement transitoire. Dans de rares cas, une sensibilité accrue des dents ou une inflammation prolongée peut apparaître. Toutefois, ces effets sont généralement bien contrôlés grâce aux protocoles modernes et à une surveillance attentive.
Comment réduire les risques chez les patients fragiles ?
Chez les patients à risque, une préparation minutieuse est essentielle. Cela inclut une stabilisation préalable de l’état parodontal, une adaptation des doses d’anesthésie et un suivi post-opératoire renforcé. L’objectif est de sécuriser l’intervention tout en garantissant des résultats efficaces et durables.
Quel est l’impact psychologique des maladies des gencives et de leur traitement chirurgical ?
Les maladies parodontales ne se limitent pas à des conséquences physiques. Elles peuvent avoir un impact psychologique important, notamment en raison de la perte de dents, des saignements fréquents ou de l’altération de l’esthétique du sourire. Ces facteurs peuvent affecter la confiance en soi et la qualité de vie sociale.
La chirurgie parodontale permet non seulement de restaurer la santé bucco-dentaire, mais aussi de redonner aux patients une image positive d’eux-mêmes. Chez les personnes fragiles, cette amélioration psychologique joue un rôle clé dans le processus global de guérison.
La chirurgie parodontale est-elle compatible avec d’autres traitements dentaires ?
La chirurgie parodontale s’intègre parfaitement dans un plan de traitement global. Elle est souvent réalisée en amont de soins prothétiques, implantaires ou orthodontiques. En assainissant les tissus gingivaux et osseux, elle crée un environnement sain et stable, indispensable à la réussite des traitements complémentaires.
Pour les patients à peau sensible ou à terrain inflammatoire, cette étape préalable est essentielle. Elle réduit les risques de complications et améliore la longévité des restaurations dentaires.
Quel est le rôle de l’hygiène bucco-dentaire après une chirurgie parodontale ?
Pourquoi l’hygiène quotidienne est-elle déterminante ?
Après une chirurgie parodontale, l’hygiène bucco-dentaire devient un pilier fondamental du succès thérapeutique. Un brossage adapté, l’utilisation de brossettes interdentaires et de solutions antiseptiques permettent de prévenir la réapparition de la plaque bactérienne et de maintenir les résultats obtenus.
Quelles précautions spécifiques pour les gencives sensibles ?
Chez les patients aux gencives délicates, des techniques douces sont recommandées. Le choix d’une brosse à dents souple et de produits non irritants contribue à protéger les tissus en cours de cicatrisation tout en assurant une hygiène efficace.
Comment l’alimentation influence-t-elle la cicatrisation après une chirurgie parodontale ?
L’alimentation joue un rôle souvent sous-estimé dans le processus de cicatrisation. Après une intervention parodontale, il est conseillé de privilégier une alimentation équilibrée, riche en vitamines et en minéraux, afin de soutenir la régénération des tissus.
Les patients fragiles bénéficient particulièrement de cette approche nutritionnelle. Une alimentation adaptée permet de renforcer les défenses immunitaires, de réduire l’inflammation et d’accélérer la guérison des gencives.
Quelle est la place des nouvelles technologies dans la chirurgie parodontale moderne ?
Les avancées technologiques ont profondément transformé la chirurgie parodontale. L’utilisation du laser, des instruments ultrasoniques et de l’imagerie numérique permet des interventions plus précises, moins invasives et mieux tolérées. Ces innovations sont particulièrement avantageuses pour les patients sensibles, car elles réduisent les traumatismes et améliorent le confort post-opératoire.
La chirurgie parodontale moderne s’inscrit ainsi dans une démarche de soins de haute qualité, centrée sur le patient et adaptée à ses besoins spécifiques.
La chirurgie parodontale peut-elle prévenir la perte des dents ?
Oui, l’un des objectifs majeurs de la chirurgie parodontale est la préservation des dents naturelles. En stoppant la destruction des tissus de soutien, elle permet de stabiliser les dents menacées et d’éviter leur extraction prématurée.
Chez les patients fragiles, cette approche conservatrice est particulièrement importante. Elle contribue à maintenir une fonction masticatoire efficace, essentielle à une bonne nutrition et à la santé générale.
Pourquoi le suivi à long terme est-il indispensable après une chirurgie parodontale ?
Le suivi régulier est une composante essentielle du traitement parodontal. Des contrôles périodiques permettent de détecter rapidement toute récidive et d’intervenir de manière précoce. Cette vigilance est d’autant plus importante chez les patients à risque ou présentant une sensibilité accrue.
Le suivi à long terme garantit la stabilité des résultats et renforce la relation de confiance entre le patient et le praticien.
La chirurgie parodontale est-elle adaptée à tous les âges ?
La chirurgie parodontale peut être envisagée à différents âges, en fonction de l’état des gencives et des besoins du patient. Chez les personnes âgées, elle permet de préserver les dents naturelles et d’améliorer le confort au quotidien. Chez les adultes plus jeunes, elle joue un rôle préventif en évitant des complications futures.
L’adaptation des techniques et des protocoles permet de répondre aux exigences spécifiques de chaque tranche d’âge, y compris chez les patients les plus fragiles.
Quel est le rapport entre maladies parodontales et santé générale ?
De nombreuses études ont mis en évidence le lien entre les maladies parodontales et certaines pathologies systémiques, telles que le diabète, les maladies cardiovasculaires ou les troubles inflammatoires chroniques. En traitant efficacement les infections gingivales, la chirurgie parodontale contribue à réduire l’inflammation générale de l’organisme.
Cette dimension globale renforce l’intérêt de la chirurgie parodontale, notamment chez les patients fragiles pour lesquels la santé bucco-dentaire est étroitement liée à l’état général.
Questions Fréquemment Posées (FAQ) sur la chirurgie parodontale
La chirurgie parodontale est-elle douloureuse ?
La chirurgie parodontale est aujourd’hui réalisée dans des conditions de confort très avancées. L’intervention se déroule sous anesthésie locale, ce qui signifie que le patient ne ressent aucune douleur pendant l’acte chirurgical. Après l’intervention, une gêne légère à modérée peut apparaître, mais elle est généralement bien contrôlée par des antalgiques adaptés.
Chez les patients fragiles ou à peau et muqueuses sensibles, le praticien privilégie des techniques mini-invasives afin de limiter l’inflammation et d’accélérer la récupération. Dans la grande majorité des cas, la douleur reste transitoire et parfaitement supportable.
Combien de temps dure la cicatrisation après une chirurgie parodontale ?
La durée de la cicatrisation dépend du type d’intervention réalisée et de l’état de santé général du patient. En moyenne, la cicatrisation initiale des gencives prend entre une et deux semaines. Toutefois, la stabilisation complète des tissus parodontaux peut nécessiter plusieurs semaines, voire quelques mois.
Chez les patients fragiles, la cicatrisation est étroitement surveillée. Des recommandations personnalisées sont mises en place afin d’optimiser la guérison et de prévenir toute complication.
La chirurgie parodontale est-elle adaptée aux personnes âgées ?
Oui, la chirurgie parodontale est tout à fait adaptée aux personnes âgées, à condition qu’une évaluation médicale préalable soit réalisée. L’âge en lui-même n’est pas une contre-indication. Ce sont surtout l’état général, les maladies chroniques et les traitements en cours qui sont pris en compte.
Chez les seniors, cette chirurgie permet souvent de préserver les dents naturelles, d’améliorer le confort masticatoire et de maintenir une bonne qualité de vie.
Peut-on subir une chirurgie parodontale en cas de diabète ?
Le diabète est un facteur de risque reconnu des maladies parodontales. Toutefois, il ne constitue pas une contre-indication formelle à la chirurgie parodontale, à condition que la maladie soit bien équilibrée.
Une collaboration étroite entre le chirurgien-dentiste et le médecin traitant est essentielle. La chirurgie parodontale peut même avoir un effet bénéfique indirect en réduisant l’inflammation chronique, ce qui contribue à une meilleure gestion du diabète.
La chirurgie parodontale peut-elle empêcher la perte des dents ?
Oui, l’un des objectifs principaux de la chirurgie parodontale est précisément d’éviter la perte des dents. En éliminant l’infection et en stabilisant les tissus de soutien, elle permet de conserver des dents qui auraient autrement été condamnées à l’extraction.
Plus la prise en charge est précoce, plus les chances de succès sont élevées. C’est pourquoi un diagnostic rapide est essentiel.
Existe-t-il des alternatives non chirurgicales à la chirurgie parodontale ?
Dans les stades précoces des maladies des gencives, des traitements non chirurgicaux peuvent être suffisants, comme le détartrage approfondi et le surfaçage radiculaire. Cependant, lorsque la maladie est avancée, ces méthodes atteignent leurs limites.
La chirurgie parodontale devient alors la solution la plus efficace pour traiter les poches profondes et stopper la progression de la maladie.
La chirurgie parodontale est-elle compatible avec une peau ou des muqueuses sensibles ?
Oui, les techniques modernes de chirurgie parodontale sont spécialement conçues pour respecter les tissus fragiles. L’utilisation de sutures fines, de matériaux biocompatibles et parfois de technologies comme le laser permet de réduire considérablement les traumatismes.
Cette approche est particulièrement rassurante pour les patients souffrant de sensibilité cutanée ou muqueuse.
Faut-il arrêter de travailler après une chirurgie parodontale ?
Dans la majorité des cas, une chirurgie parodontale ne nécessite pas d’arrêt de travail prolongé. Selon l’ampleur de l’intervention, une reprise des activités quotidiennes est possible dès le lendemain ou après quelques jours de repos.
Le praticien adapte ses recommandations en fonction de la situation professionnelle et de l’état général du patient.
Quels soins sont indispensables après une chirurgie parodontale ?
Après l’intervention, il est essentiel de suivre scrupuleusement les consignes données par le chirurgien-dentiste. Cela inclut une hygiène bucco-dentaire adaptée, l’utilisation de bains de bouche antiseptiques et des contrôles réguliers.
Ces soins post-opératoires sont déterminants pour assurer la stabilité des résultats et prévenir les récidives.
Les résultats de la chirurgie parodontale sont-ils définitifs ?
La chirurgie parodontale offre des résultats durables, mais leur pérennité dépend largement du comportement du patient. Une hygiène rigoureuse, des visites de contrôle régulières et une prise en charge précoce de toute inflammation sont indispensables.
Lorsqu’elle est intégrée dans une démarche globale de prévention, la chirurgie parodontale constitue une solution fiable et efficace à long terme.
Quand faut-il consulter pour envisager une chirurgie parodontale ?
Il est recommandé de consulter dès l’apparition de signes tels que des saignements des gencives, une mauvaise haleine persistante, une récession gingivale ou une mobilité dentaire. Plus la prise en charge est précoce, plus les traitements sont simples et conservateurs.
Un diagnostic rapide permet souvent d’éviter des interventions plus lourdes et de préserver durablement la santé des gencives.
Conclusion
La chirurgie parodontale est aujourd’hui une solution efficace, sûre et adaptée à un large éventail de patients. Grâce aux avancées médicales, elle répond aux besoins spécifiques des personnes fragiles et des peaux sensibles. En traitant la cause profonde des maladies des gencives, elle permet de préserver les dents naturelles, d’améliorer la qualité de vie et de renforcer la santé globale du patient.